Occipitocervical Fixation and Fusion
Andrew H. Milby
John M. Rhee
Illustrative Case
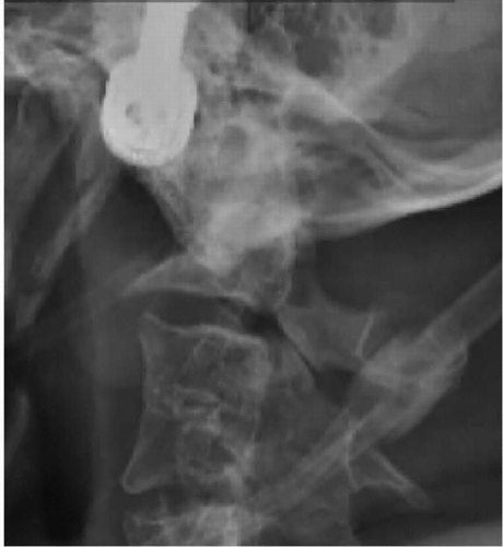
A 51-year-old male presented to us with numerous craniocervical developmental abnormalities and severe cervical myelopathy because of occipitocervical assimilation, basilar invagination, and C1-2 instability. He was admitted for preoperative cervical traction, which provided partial reduction of the basilar invagination (Figures 8-1 and 8-2).
Indications
Unstable traumatic fractures or ligamentous injuries of the craniocervical junction.
Myelopathy due to basilar invagination from inflammatory, infectious, or neoplastic causes.
Adjunct fixation in long cervical constructs with concern for proximal fixation failure because of limited available fixation points and/or poor bone quality.
Radiologic Assessment
Carefully assess vertebral arteries for any anatomic variation and to determine safe zones for exposure and instrumentation at upper cervical levels (Figure 8-3).

Figure 8-3 ▪ Sagittal T2-weighted MR image, demonstrating severe cord compression with atrophy and myelomalacia at the occipitocervical junction.
Review intracranial imaging (axial CT cuts through the occiput) for locations of dural sinuses and variations in occipital anatomy (Figures 8-4 and 8-5).
Measure approximate lengths and sizes of planned occipital and cervical instrumentation.
Determine extent of suboccipital decompression, if indicated.
Special Equipment
Occipitocervical instrumentation
C-arm









